Всі хвороби зубів і їх причини
На поверхні зубної емалі розмножується величезна кількість мікробів і бактерій. Особливо це помітно у
Дієвий спосіб відновлення зубного ряду установка імплантів. Така послуга доступна в приватних і державних
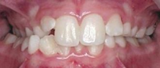
Існує багато порушень змикання зубів. Одне з них – перехресний прикус. У цьому випадку
Така різновид запального процесу в пульпі, характеризується збільшенням волокон сполучних тканин порожнини зуба. Супроводжується
Один з ознак пульпіт – це запальний процес усередині зуба. Саме він є наслідком
Періодонтит – запалення кореня зуба і прикореневої тканини. Хвороба викликає недолікований карієс або пульпіт,
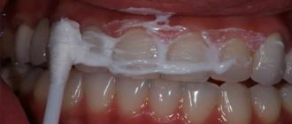
Чимало клієнтів стоматологічних клінік не розрізняють поняття «відбілювання» і «чистка» зубів, із-за чого залишаються
Емаль молочних зубів більш тонка, ніж у корінних, тому вона більше схильна до різних
