Всі хвороби зубів і їх причини
Прикореневій карієс вважається важкою формою каріозного ураження. Пов’язано це з особливостями розташування пошкоджених ділянок,
Відомий китайський бренд Xiaomi (у російській транскрипції ксиаоми або сяоми) зарекомендував себе як виробник
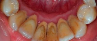
Утворення зубного каменю на поверхні емалі — проблема, з якою необхідно боротися. Тверді відкладення
Зубний камінь являє собою затверділі відкладення, що складаються з клітин епітелію, залишків їжі, мікроорганізмів
Стоматит – запальний процес на слизовій епітелію ротової порожнини. Його походження та прояви різні.
Традиційно симптомами ангіни вважається біль у горлі, температура, а також поява нальоту на мигдаликах.
Стоматит – запалення слизової оболонки порожнини рота. Він виникає з різних причин: інфекційні захворювання,
Алергічний стоматит — запалення слизової оболонки ротової порожнини, розвивається внаслідок иммунопатологической реакції. Іншими словами,
