Всі хвороби зубів і їх причини
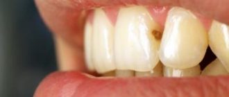
Одне з найпоширеніших захворювань в стоматології – карієс. Він часто з’являється на міжзубних проміжках
Основною причиною розвитку каріозних уражень є неповноцінна гігієна порожнини рота або її відсутність. У
Відстрочкою від армії називають тимчасове звільнення від призову. Вона закінчується, коли причина для призначення
Багато людей незалежно від вікової категорії та соціального статусу страждають від різних захворювань ротової
Зубним каменем називають твердий наліт вапняної природи. Він має світло-коричневий відтінок. В основному це
Воспалившаяся через зубного каменю десна є причиною не тільки поганого запаху з рота. Нерідко
Після стоматологічної процедури, яка передбачає очищення зубів від м’якого і твердого нальоту, за порожниною
Поява твердого нальоту на поверхні зубів – найпоширеніша стоматологічна проблема, з якою стикався кожен.
