Всі хвороби зубів і їх причини
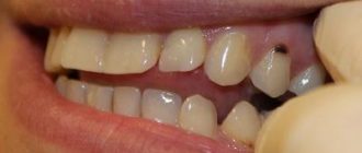
Каріозне ураження зубів розвивається поступово, спочатку на поверхні емалі з’являється біла пляма, яке поступово
Стан зубів — один з важливих ознак здоров’я, а красива усмішка завжди привертає увагу
Зуби мудрості, це треті моляри або «вісімки». Вони утворюються пізніше інших зубів, приблизно на
Візит до стоматолога перестав супроводжуватися болем і неприємними відчуттями. Сучасні пломби не тільки стійкі,
Вважається, що при карієсі відбувається помітне руйнування видимого ділянки хворого зуба (коронки). Це не
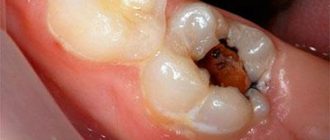
Карієс — патологія твердих тканин зубів. Масове стоматологічне захворювання відрізняється різною швидкістю протікання. В
Різноманіття проявів та швидкість протікання процесу лягли в основу декількох десятків існуючих класифікацій карієсу.
Карієс розвивається під впливом хвороботворних мікроорганізмів і вражає емаль, цемент і дентин. Якщо область
