Медицина
Бджоли нападають і жалять тільки в цілях самооборони, так як після гинуть. Як відповідна
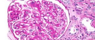
Гострий гломерулонефрит – захворювання інфекційно-імунного природи, що вражає клубочковый апарат і нирки нефрони. При
Хронічний гломерулонефрит – хвороба, що вражає клубочки нирок, характерно дифузне ураження з постійним прогресуванням,
Алергія на диню зустрічається досить рідко і пов’язаний, в основному, з перехресною реакцією на
Быстропрогрессирующий гломерулонефрит – це патологічний стан, в ході якого відбувається стрімкий розвиток недостатності нирок.
Поліноз або алергія на пилок є найпоширенішим типом алергічної реакції, якої, за деякими даними,
Поряд з безперечною користю малина приносить шкоду. Красиве, але дуже небезпечну рослину по ризику
Оса ― жалящее, перепончатокрылое комаха. Виділяють такі їх різновиди: шершень — великі особини з
