Медицина
Карієс цементу являє собою таку форму патології, при якій каріозні порожнини розташовуються в поддесневой
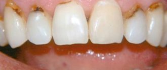
Пришеечный карієс — особливий вид каріозного руйнування, розташованого в місці переходу коронкової (білої) частини
Незважаючи на те, що в двадцять першому столітті вже давно ніхто не боїться стоматологів,
Брекети (ортодонтичні скоби) являють собою металеві або керамічні пластинки, які клеять на зуби з
Використання брекетів надійний і перевірений спосіб корекції неправильного прикусу і додання зубам потрібного положення,
Нерідко у дітей після випадання перших молочних, корінні зуби ростуть кривими, вони вибиваються з
Лінгвальні брекети – ортодонтичні конструкції, спрямовані на виправлення прикусу, які кріпляться на внутрішній стороні
Сапфірові брекети виготовляються з спеціально вирощених синтетичних сапфірів, які не представляють шкоди для людського
