Медицина
Красива посмішка – це мрія багатьох людей. Трапляється так, що досягти заповітної мети заважає
Oral-B — стоматологічний бренд, який займається виготовленням ефективних і доступних засобів для гігієни ротової
Для краси і здорового стану зубів люди використовують зубну нитку (або флосс), яка вважається
Карієс — руйнування твердих тканин зуба, яке без лікування може стати причиною розвитку більш
Ускладнення можливі із-за помилок, допущених медспециалистом або самим пацієнтом, або ж у зв’язку з
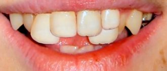
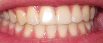
Криві зуби не тільки псують естетичний вигляд. Вони можуть призвести до погіршення здоров’я, так
Під час носіння брекетів доступ до деяких частинах зубної поверхні може. Під конструкцією накопичуються
Брекети Clarity — естетичні ортодонтичні конструкції. Їх переваги полягають у високій ефективності результатів, безпечності
