Медицина
Лінгвальні брекети інакше називають внутрішніми, прихованими, зворотними, невидимими. Грецький корінь «лінгва» означає «мова». Брекети
Ортодонти знають, наскільки часто у дітей і дорослих виникає необхідність виправити неправильний прикус і
Брекети являють собою складну конструкцію: замочки, що кріпляться на спеціальний клей на поверхню зуба,
Брекети Damon Clear виробляються компанією Ormco і популярні у стоматологів світового масштабу. Для їх
Не багато можуть похвалитися ідеальними зубами. Найбільш поширеними є такі дефекти, як неправильне розташування
Waterpik називають одним з найпопулярніших брендів на світовому ринку гігієнічних товарів для ротової порожнини.
Прямий прикус вважається одним з варіантів нормального прикусу. Деякі люди відзначають його ідеальним: різці
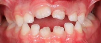
Неправильний прикус у дитини — поширене явище. Якщо патологія не виправляється своєчасно, неестетичний зубний
