Медицина
Імплантація зубів — ідеальний варіант відновлення жувальної функції і красивою здорової посмішки. Відновити втрачені
Брекети — це спеціальні стоматологічні конструкції, які використовуються для боротьби з нестандартним положенням зубів,
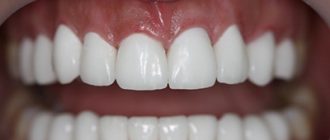
Вініри — зубні мікропротези, у вигляді тонких пластинок, які кріпляться до передньої поверхні зуба.
Брекети встановлюються пацієнтам на тривалий термін. Їх складна конструкція є ідеальним місцем для розповсюдження
Брекети створені, щоб виправити прикус пацієнта. Так як це чужорідний компонент, який тисне на
Не всім природа дарує привабливу усмішку. Якщо виникають проблеми, пов’язані з недоліками зубного ряду,
Більшість людей від природи обдаровані красивою рівною посмішкою. Деяким доводиться виправляти неправильний прикус і
Лікування за допомогою брекетів ортодонтичних набирає популярність на території Росії. Брекети — спеціалізовані стоматологічні
