Медицина
З проблемою ясен у своєму житті стикається 9 з 10 чоловік. До них відноситься
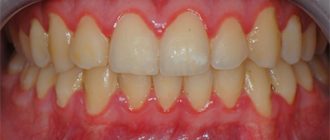
Гінгівіт — захворювання порожнини рота, яке характеризується набряком і кровоточивістю ясен. Зазвичай причиною недуги
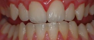
Гіпертрофічний гінгівіт – запальний процес, що проходить в тканинах ясен, що супроводжується розростанням їх
Гострий некротизуючий виразковий гінгівіт (ANUG, відомий як траншея, гінгівіт Венсана) — це поширена, неконтагиозная
Професійне відбілювання зубів здійсненно і в домашніх умовах. Існують спеціальні системи для домашнього відбілювання,
Щоб в короткі терміни виправити прикус використовуються еластичні тяги для брекетів. Інакше їх ще
Брекети здатні виправити прикус і неправильну форму зубів. Конструкція брекетів складається з дуги і
Брекети — ортодонтична конструкція, призначена для корекції положення зубів з-за неправильного прикусу, нерівного розташування
