Медицина
Експрес імплантація — спосіб відновлення зубів за одне відвідування фахівця. Свою назву він отримав
Пародонтоз — це серйозна поразка околозубних тканин, без належного лікування здатне привести до випадання
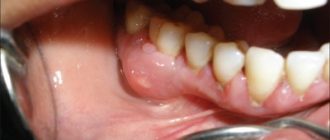
Гнійний періодонтит — гостре запальне захворювання періодонта, яке характеризується великим скупченням гною в корені
Хронічний гангренозний пульпіт — запальна хвороба пульпи (коронкової або кореневий) хронічного характеру, яка з’являється
Відбілювання зубів процедура з видалення нальоту (в деяких випадках каміння) з емалі. До неї
Капи — силіконові або пластикові накладки на зуби, які заповнюються спеціальним надає гелем. Ширина
Холодне відбілювання полягає в застосуванні гелю-освітлювача в комплексі з дією світла LED лампи. Назва
Людська щелепа побудована таким чином, що при чищенні зубів видалення нальоту утруднено. З цієї
