
Іноді після маніпуляцій дантиста починається стоматит.
Причиною стають як інфікування ранки при порушенні гігієнічних заходів, так і алергічні реакції на анестезію.
Про хвороби

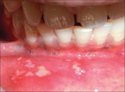
Що таке стоматит – патологія являє собою запальне захворювання, що відбувається у ротовій порожнині.
Запалення може початися на слизовій, всередині щік, на губах, яснах, піднебінні або мовою. Виділяється кілька основних видів стоматиту:
- Афтозний: проявляється алергія на наркоз, а також при інфекційних патології і хвороб ШЛУНКОВО-кишкового тракту. Характеризується утворенням невеликих хворобливих виразок.
- Катаральний: виникає в результаті грибка або недотриманні правил гігієни. Проявляється набряком і почервонінням слизової, утворенням сильного білого нальоту і підвищеним слиновиділенням.
- Виразковий: виникає на тлі проблем з ШКТ і хворобами серцево-судинної системи. Спостерігається підвищення температури тіла, запалення лімфатичних вузлів і освіта хворобливих виразок по всій порожнини рота.
- Герпесный: провокується вірусом герпесу, виникає ерозійними утвореннями і набряком слизової.
Порожнина рота стає особливо вразливою після проведення медичних маніпуляцій або будь-яких операцій, так як підвищується ризик інфікування і розвитку ускладнень.
Причини стоматиту на десні після видалення зуба мудрості

У деяких випадках після лікування або видалення зубів у людини може розвинутися стоматит.
Вогнище запалення найчастіше розташовується на десні або щоці.
Основні провокуючі фактори:
- Алергічна реакція на анестезію і інші препарати, що використовуються в лікуванні.
- Відсутність кров’яного згустку після видалення зуба в лунці, який захищає ранку від інфекцій.
- Знижений імунітет.
Крім цього, освіта стоматиту може відбутися через людського фактора, коли доктор, або пацієнт не дотрималися необхідні умови.
З вини лікаря

Виникає після введення сильнодіючих препаратів при анестезії і використанні необроблених нестерильних інструментів.
А також часто причиною стає неправильна техніка при видаленні зуба, а також при залишки коренів в лунці видаленого зуба.
Подібні помилки у важких операційних ситуаціях може зробити навіть висококваліфікований лікар.
З вини пацієнта
Після лікування або видалення зуба мудрості лікар завжди дає пацієнтові рекомендації по догляду за порожниною рота і відновленню. Недотримання правил гігієни та ігнорування лікувальних процедур можуть призвести до серйозних ускладнень і розвитку стоматиту.
Довідка! Інтенсивне і часте полоскання розчинами призводить до вимивання згустку крові з лунки видаленого зуба, внаслідок чого відкрита ранка стає вразливою до інфекцій.
При прорізуванні зубів
В цей період на десні утворюється ранка. Як і будь-які інші травми слизової порожнини рота, вона може спровокувати появу патології.
Тому під час прорізування зубів необхідно особливо ретельно дотримуватися регулярну гігієну порожнини рота. При недотриманні гігієнічних правил і розвитку хвороботворних бактерій в порожнині рота може утворитися стоматит.
Важливо! Велика кількість цукру також створює сприятливу атмосферу для розвитку бактерій.
Як і інші види, стоматит при прорізуванні зуба може викликати алергічна реакція на медикаменти або продукти харчування, знижений імунітет і загострення хронічних хвороб.

До симптомів стоматиту у цьому випадку належать:
- Почервоніла і набрякла слизова, білий наліт.
- Неприємний запах з рота.
- Втрата апетиту.
- Освіта декількох неглибоких виразок, які можуть зливатися в одну.
- Висока температура тіла.
- Підвищене слиновиділення.
- Загальна слабкість організму.
Протезний стоматит
Це болючі запальні зміни в порожнині рота, що відбуваються під впливом зовнішніх факторів. Так, зубні протези і ортодонтичні апарати можуть спровокувати утворення виразок і нальоту.

Найбільш часто такого виду патології схильні люди зрілого віку, які використовують зубні протези.
Головною умовою в лікуванні стоматиту є згладжування або витяг матеріалів, що викликають захворювання.
Проводити цю процедуру слід тільки у лікаря, попередньо провівши повний огляд ротової порожнини.
Додатково для усунення нальоту і запалення застосовуються протигрибкові препарати, протизапальні і знеболюючі гелі, а також полоскання знезаражуючими розчинами.
В цілому програма терапії будь-якого виду стоматиту однакова.
Лікування хвороби: мазі, розчини

У разі виявлення ознак патології необхідно звернутися до лікаря для проведення огляду та постановки точного діагнозу.
Важливою умовою при лікуванні стоматиту після видалення зуба чи від вставних протезів є регулярне дотримання гігієни порожнини рота і використання протизапальних засобів для уникнення інфікування.
Для усунення запалення та якнайшвидшого загоєння ранки зазвичай виписуються наступні групи препаратів:
- Регенеруючі мазі: Солкосерил, Актовегін.
- Антисептичні засоби: Віферон-гель, Холисал-гель.
- Розчини для полоскання: Мірамістин. Хлоргексидин, перекис водню.
Важливо! При виявленні захворювання не рекомендується займатися самолікуванням. Наприклад, при стоматиті після видалення зуба антибіотики можуть не дати ефекту.
Чи можна лікувати і видаляти зуби при запаленні в роті у дорослих

Однозначної відповіді на це питання не існує. Залежно від тяжкості захворювання та його види в деяких випадках дозволяється лікування й видалення зубів.
Точну відповідь зможе дати лікар після огляду ураженої області.
А також пацієнтові не завжди дозволяється чистити зуби при стоматиті. У важких випадках чистка може доставляти сильні больові відчуття і дискомфорт.
Крім цього, виникає ризик механічного пошкодження запаленої слизової. У такому випадку пацієнт обмежується полосканням антисептичним розчином і обробкою порожнини рота протимікробними і загоюючими засобами.
Довідка! Головною гігієнічною процедурою під час стоматиту є полоскання порожнини рота спеціальними розчинами.
Якщо ж лікар дозволив чистити зуби при стоматиті, то маніпуляцію слід проводити дуже м’якою щіткою і трав’яний зубною пастою з антибактеріальним ефектом.
Профілактика: чим чистити, відвідувати стоматолога
У цього захворювання найчастіше можуть виникати рецидиви, тому регулярне дотримання гігієни порожнини рота, правильне харчування і міцний імунітет є важливими умовами профілактики.

Фото 1. Основним правилом надійної профілактики появи стоматиту, є акуратна чищення зубів два рази на день з використанням зубної пасти на травах.
До основним заходам відносять:
- Гігієна порожнини рота. Чищення зубів два рази в день м’якою щіткою або середньої жорсткості і трав’яний пастою з антибактеріальним ефектом.
- Регулярне відвідування стоматолога двічі на рік.
- Уникати можливі алергени. Прибрати з раціону дуже гостру, солону, пряну і жорстку їжу, яка подразнює слизову.
А також пацієнтам рекомендується уникати вживання цитрусових соків, гарячих напоїв і будь-якого виду алкоголю.
