
В залежності від ділянок ушкодження, виділяють початкову, середню і глибоку форму карієсу. Ранній карієс являє собою патологію, при якій руйнується зубна емаль.
Дентин і пульпа залишаються непошкодженими. Це відбувається в результаті цілого ряду несприятливих факторів, основними серед яких є активне розмноження патогенної мікрофлори у роті.
Патологія має тенденцію до швидкого розвитку, і якщо спочатку вона практично ніяк не проявляється, за винятком зміни кольору зубної емалі (на ній з’являються більш світлі ділянки, які з часом темніють), то при відсутності терапії емаль продовжує руйнуватися, на ній з’являються вже добре помітні пошкодження.
Після цього карієс переходить в більш складну форму.
Початковий карієс на зубах: причини розвитку
Початковий карієс розвивається в результаті порушення кислотно-лужного балансу в порожнині рота.
Важливо! До виникнення такої ситуації призводить посилений ріст чисельності хвороботворних мікроорганізмів, що мешкають у роті.
Найбільш сприятливі умови для такого розвитку подій:

Відсутність правильної гігієни ротової порожнини. Найдрібніші частинки їжі, що застрягли між зубами і в інших важкодоступних місцях. Вони є поживними речовинами для патогенних бактерій.
При достатній кількості поживних речовин хвороботворні мікроорганізми починають посилено розмножуватися, виділяти більшу кількість кислотних продуктів життєдіяльності, що руйнують емаль.
В результаті цього на ній з’являються спочатку дрібні, а потім і більш відчутні пошкодження.
Неправильне харчування, зокрема, недостатнє вживання продуктів, багатих змістом кальцію, фтору, фосфору — елементів, що підтримують щільність емалі, а також постійна присутність у щоденне меню продуктів, які негативно впливають на її стан.
До числа таких продуктів відносять солодощі, газовані напої, продукцію фаст-фуду, вуглеводні продукти. Часте вживання занадто твердих продуктів може призвести до пошкодження емалі та розвитку раннього карієсу.
Початківець карієс: клінічні прояви патології
Карієс на початковому етапі свого розвитку часто має безсимптомний перебіг, проте, про розвиток патології можуть свідчити такі прояви, як:

- Поява більш світлих ділянок на зубній емалі — ознаки першої стадії початкового карієсу.
- Потемніння хворого зуба.
- Поява на поверхні емалі незначних пошкоджень, шорстких ділянок.
- Розвиток чутливості зубів (відчуття дискомфорту з’являються при вживанні певних продуктів, надто гарячої або холодної температури, а також кислих, солодких, солоних страв).
- Можливо розвиток помірного больового синдрому. Найчастіше біль виникає при впливі на пошкоджений зуб (наприклад, при пережовуванні їжі, різкому і сильному стисненні щелепи).
Стадія розвитку
Карієс розвивається поступово. Зокрема, для початкової форми патології характерні наступні етапи:
Ранній невеликий карієс: методи діагностики
Початок карієсу складно визначити на підставі одних лише клінічних проявів. Для постановки діагнозу використовують різні методики, такі як:
- Висушування зубної поверхні. Процедура виконується в кілька етапів. Спочатку хворий зуб обробляють розчином перекису водню (3%), через деякий час ділянку промивають чистою водою, після чого ретельно просушують, використовуючи для цих цілей ватні тампони. Для більш ретельного просушування застосовують спеціальний апарат, що подає повітря на хворий зуб. Видалення вологи з пошкодженої поверхні робить каріозні пошкодження більш помітними.
- Інший спосіб діагностики — рентгенографія. Цей метод досить інформативний, допомагає не тільки виявити пошкодження, але і оцінити стан більш глибоких тканин хворого зуба. А це дуже важливо при диференціальній діагностиці (визначення стадії розвитку патологічного процесу).

Фото 1. Застосування вітального фарбування на зубах пацієнта з метою визначення розвитку карієсу.
- Вітальне фарбування. Виявити проблемні ділянки допомагає використання спеціальних фарбувальних складів (наприклад, 2%-ний метиленовий синій). Після видалення з поверхні зуба зайвої вологи, склад наносять на емаль за допомогою ватної палички, і через деякий час оцінюють результат. Каріозна поверхня набуває специфічний голубуватий відтінок, причому чим глибше пошкодження, тим більш інтенсивний колір набувають ці області.
- Метод трансиллюминации передбачає застосування спеціального УФ-приладу. Під впливом ультрафіолетового випромінювання патологічні ділянки змінюють свій колір. Цей метод дозволяє визначити навіть самі незначні пошкодження емалі, наприклад, на стадії білої плями, а також розпізнати розвивається вторинний карієс (пошкодження зуба навколо пломби, встановленою раніше).
Методи профілактики
Знизити ризик розвитку пошкоджень можна, якщо регулярно дотримуватися основні правила профілактики. Це повноцінна гігієна ротової порожнини, правильне харчування.
Гігієнічні процедури
Важливий момент в гігієні — правильний вибір аксесуарів, насамперед, зубної щітки. Це пристосування повинно мати досить жорстку щетину (м’яка щітка нездатна повноцінно видалити забруднення з поверхні емалі, однак, занадто жорстка — може пошкодити її).
Тому рекомендується вибирати щітки з щетиною середньої жорсткості. Кожні 3 міс. щітку необхідно міняти, так як на її поверхні скупчуються бактерії, а щетинки з часом втрачають початкові властивості. Важливо звернути увагу і на розмір головки зубної щітки. Для дорослих оптимальним варіантом стане 2.5—3 см, для дітей — трохи менше. Щетинки повинні розташовуватися під нахилом, бути звернені один до одного.

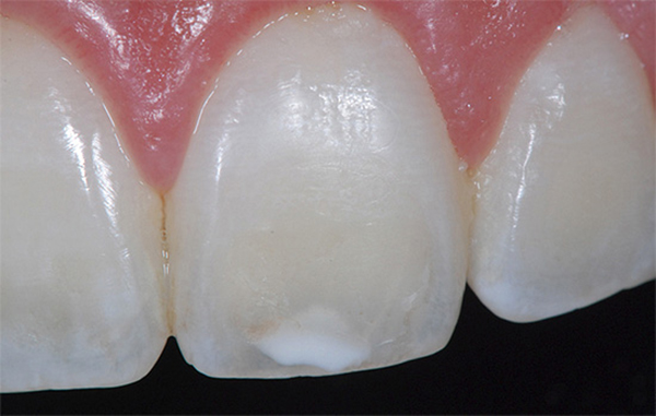
Фото 2. Знімок передніх зубів дорослої людини з почався на них карієсом у вигляді білої плями.
При виборі зубної пасти рекомендується звернути увагу на її склад. Добре, якщо продукт містить підвищену кількість мінеральних речовин, наприклад, кальцію, фтору. Корисними вважаються і пасти з рослинними екстрактами. А до відбілюючим варіантів необхідно поставитися з обережністю. Нерідко до їх складу входять агресивні абразивні частинки, які здатні травмувати емаль.
Правильне харчування
Щоб зберегти здоров’я порожнини рота, необхідно переглянути свій щоденний раціон. Важливо скоротити споживання шкідливих продуктів. Це, насамперед, шоколад та інші солодощі, газовані напої, концентровані соки, які містять велику кількість фруктових кислот, занадто кислі фрукти. Зазначені продукти не тільки руйнують зубну емаль, але і призводять до серйозних захворювань органів травлення.
В основу раціону повинні входити молочні продукти, овочі та фрукти (не кислі), нежирне м’ясо, риба, в якій міститься велика кількість фосфору, корисного для здоров’я зубів.
Важливо визначити і час прийому їжі. Найкраще розробити спеціальний режим і суворо дотримуватися його, уникаючи перекусів, так як в цьому випадку порушується кислотний баланс в порожнині рота і підвищується загроза розвитку карієсу.
Важливо! Нелікований карієс є хронічним вогнищем інфекції, що може негативно позначитися на здоров’ї інших внутрішніх органів (наприклад, карієс стає частою причиною патологій органів дихальної системи).
